Alabama Cosmetic Dentist Dr. Brad Beasley Delivers Amazing Results with Porcelain Crowns
Porcelain crowns (also called "caps") are used when the original tooth is badly decayed or broken down. Porcelain crowns can be used to restore one tooth or many teeth, and are beneficial in both restoring your smile and protecting what remains of your original teeth.
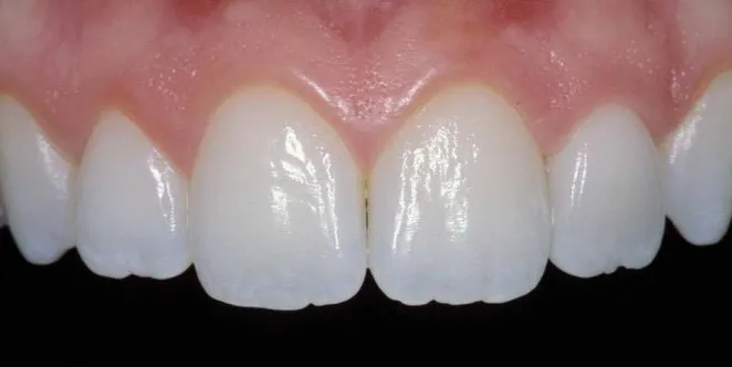
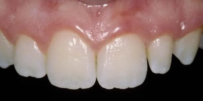
Before & After Malformed Lateral Incisor Porcelain Crown
In years past, porcelain-fused-to-metal crowns resulted in an opaque repair that was noticeably different from natural teeth. New technology has provided us with all porcelain crowns, which are virtually indistinguishable from your natural teeth when placed by an expert such as your Alabama cosmetic dentist, Dr. Beasley.
Many general dentists still use PFM or porcelain-fused-to-metal crowns, because they are functionally "tried and true" and generally stronger than all porcelain crowns. This is fine for the back teeth, which do not show, but porcelain-fused-to-metal crowns used on the front teeth result in a fake, opaque appearance, often with a dark line at the gum line that is very unattractive. This picture (left) shows teeth restored with porcelain-fused-to-metal crowns. They are noticeably more opaque than the natural teeth, and have the distinctive, distracting dark line at the gum line that is nearly unavoidable with this type of crown.
By contrast, this is the smile of the same patient pictured below on the left, newly restored with porcelain crowns placed by a highly-trained, expert cosmetic dentist like Dr. Beasley. Dr. Beasley has the training and the artistic skills necessary to create beautiful results with porcelain crowns.
Related Articles
Porcelain Crowns & Veneers Dear Doctor magazine examines two innovative strategies for improving your smile. In many instances, these two restorative techniques can produce nearly identical aesthetic results, even though they are designed differently for handling different structural problems... Read Article
Value Of Quality Care Are all crowns created equal? And why are some crowns more expensive than others? Crown fabrication costs depend upon the materials used and the time needed to create them, among other factors. Dear Doctor magazine examines these variables... Read Article
Fixed vs. Removable Bridgework For those patients who have lost all their teeth, but have not lost significant bone, a fixed bridge (permanent non-removable teeth) may be the treatment of choice. For those who have severe bone loss, an implant-supported overdenture offers significant advantages... Read Article
