Durathin Veneers Gallery

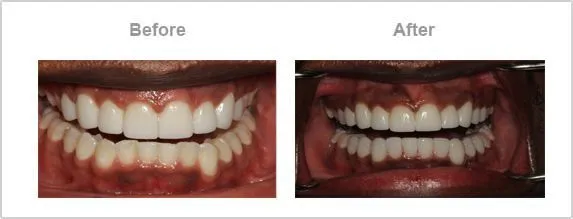
This patient came to us after having his upper 8 porcelain veneers done by a dentist in Atlanta. His upper arch smile was not as full as he wanted so Dr. Beasley widened the upper by adding 2 more porcelain veneers (1 on each side in the posterior). He also wanted his lower teeth to match his uppers so Dr. Beasley did porcelain veneers on his lower 10 teeth.

This case of all Durathin porcelain Veneers was made by Experience Dental Studios in Lindon, Utah.


This Durathins case was done in 2018. For a patient who already had a pretty smile. However she wanted a more full and brighter smile. So Dr. Beasley did 10 Durathins porcelain veneers by Experience Dental Studios in Lindon, Utah.


September of 2018 this patient came to us in confidence of wanting to change her smile. Dr. Beasley spoke with the patient and was able to figure out exactly what she wanted to change in her smile and how we would do so. Dr. Beasley and the patient decided that doing Durathin Veneers on her front 8 teeth would fix the problem and make her smile more proportional and balanced. This case of all Durathin porcelain Veneers was made by Experience Dental Studios in Lindon, Utah.


Our Location

Find us on the map

Hours of Operation

Our Regular Schedule

Monday

8:00 am - 5:00 pm

Tuesday

8:00 am - 5:00 pm

Wednesday

8:00 am - 5:00 pm

Thursday

8:00 am - 2:00 pm

Friday

By Appointment

Saturday

Closed

Sunday

Closed

Beasley Membership Plan
Monday
8:00 am - 5:00 pm
Tuesday
8:00 am - 5:00 pm
Wednesday
8:00 am - 5:00 pm
Thursday
8:00 am - 2:00 pm
Friday
By Appointment
Saturday
Closed
Sunday
Closed
Beasley Membership Plan